Leading Dentist Near Lady Lake
Elite Dental is your trusted dentist near Lady Lake, providing expert and compassionate care for a healthy, confident smile.
What Sets Our Clinic Apart Near Lady Lake?
Experienced Dentist
Our dentist near Lady Lake has years of experience providing quality dental care. We handle both simple and complex procedures. You can trust our expertise.
Comprehensive Services
We offer a wide range of dental treatments under one roof. From check-ups to advanced procedures, we cover all needs. Convenience is our priority.
Flexible Appointments
We offer convenient scheduling to fit busy lives. Morning, evening, and weekend slots are available. We respect your time.
Trusted Reputation
Our patients recommend us for our skills and care. We build long-term relationships with families. Trust is at the heart of our practice.
Your Trusted Choice For Dental Care Near Lady Lake
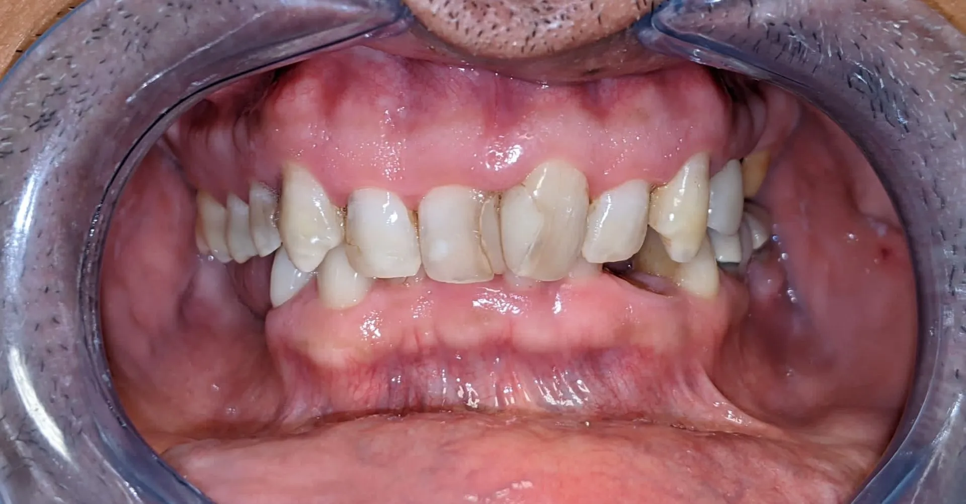
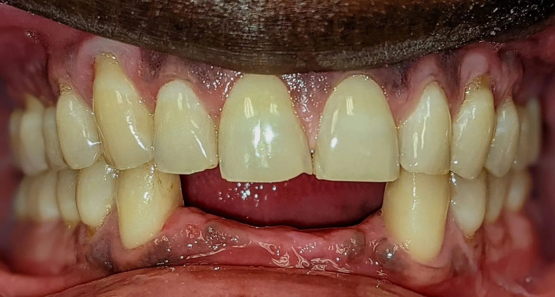
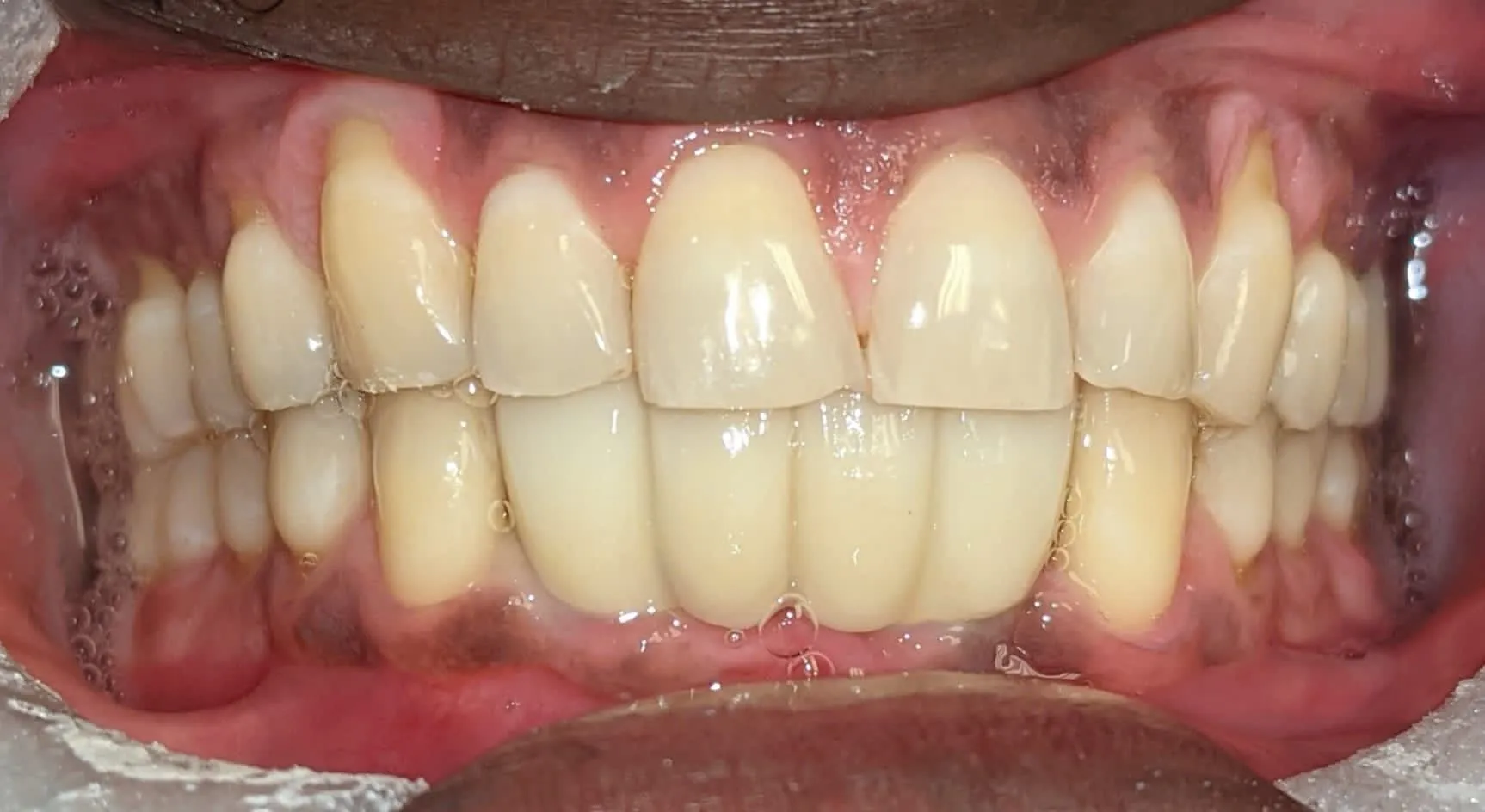
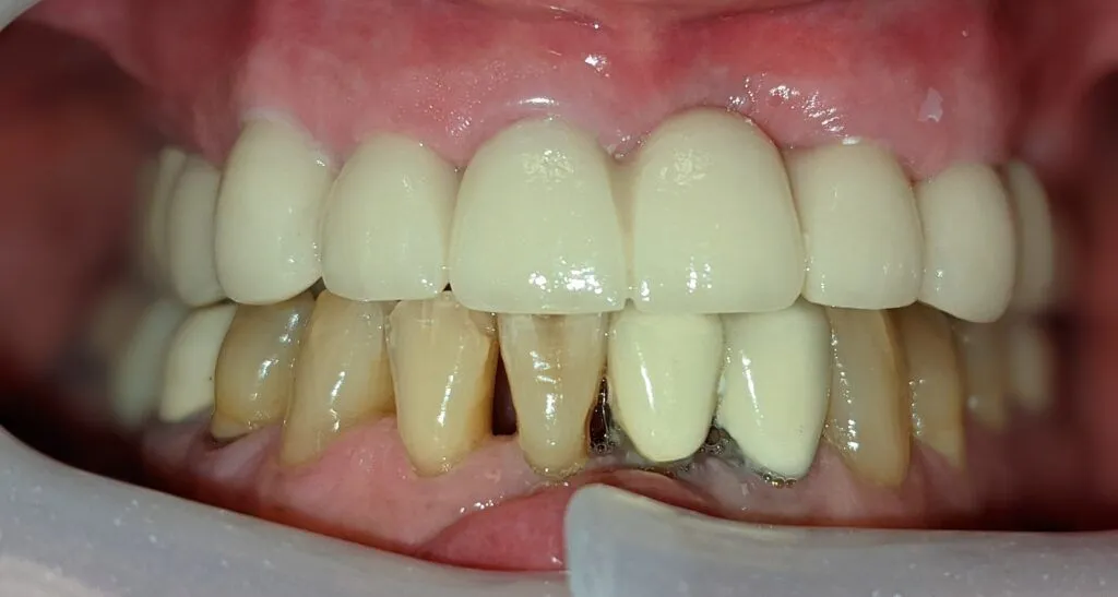
Delivering Dental Care With Expertise And Precision
Our team provides dental care with careful attention and skill. Every procedure is done using modern techniques to ensure accuracy and effectiveness. We take the time to understand each patient’s needs before starting treatment. This helps in achieving healthy and lasting results.
We focus on giving thorough and precise care for every patient. Attention to detail ensures treatments are safe and successful. Our goal is to maintain oral health while helping patients feel confident about their smiles. Consistent care supports strong teeth and gums for the long term.
Accepting
NEW PATIENTS!
We are now welcoming new patients to our dental practice. Our team provides friendly and professional care for patients of all ages. Join us to start your journey toward a healthy and confident smile.
Smiles That Shine, Reviews That Speak Volumes!
At Elite Dental of Summerfield, we’re dedicated to easing dental anxieties and creating bright, healthy smiles for all of our patients. Our team goes above and beyond to make every visit a positive experience. Read on to discover why patients trust us with their dental health and why we’re proud to be a part of their journey to confident, beautiful smiles.






Browse Our Services At Elite Dental Near Lady Lake
This is the hidden content that will expand on View More.
Keyur Patel, DDS
Welcome to Elite Dental of Summerfield! Dr. Patel, along with our skilled team, is dedicated to providing compassionate and personalized care. With a focus on clear communication and integrity, Dr. Patel ensures that each patient makes informed decisions about their dental health. Get to know him and the rest of our team, who are committed to helping you achieve a healthy, beautiful smile.




Your Journey To A Perfect Smile Starts Here
Start your journey to a brighter, healthier smile with personalized dental care. Our team focuses on treatments that suit your individual needs and comfort. Experience expert care and lasting results with a trusted dentist near Lady Lake professionals.